Identificare /Conoscere /Controllare
it
fr
en
it
es
Iscrizione
Accesso
Coltivazioni
TropilLeg
Fiches maladies et ravageurs
Champignons et Oomycètes
Champignons parasites des organes telluriques
Pourritures à Pythiums
Champignons parasites des organes telluriques
Symptômes sur Solanacées
Symptômes sur Cucurbitacées
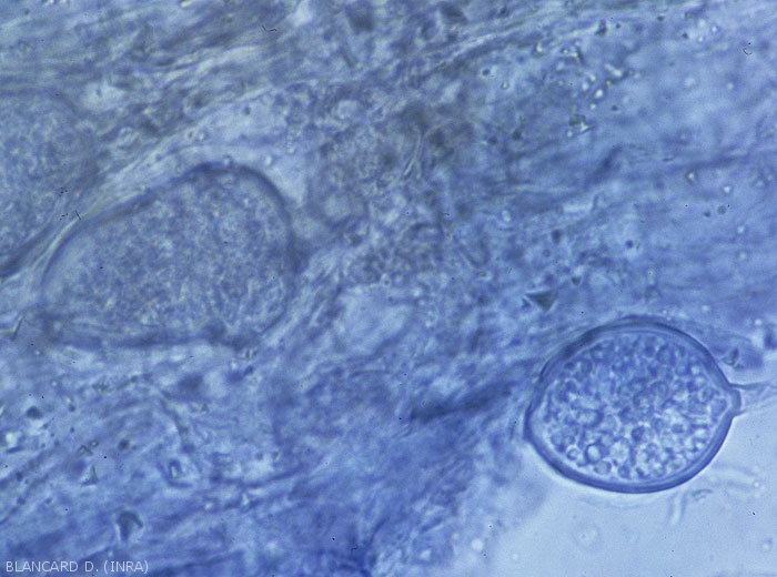
Texte du contenu Pourritures à Pythiums
FIG1
FIG2
FIG3
FIG4
FIG5
FIG6
×
Chargement...
×
Chargement...
×
...
Latitude :
0.0
Longitude :
0.0
la