Biologie, épidémiologie

  • Conservation, sources d'inoculum

Botrytis cinerea est parfois retrouvé sur les semences. Il est capable de se maintenir dans le sol sur les débris végétaux les plus divers, ceci sous plusieurs formes : conidies, mycélium et sclérotes (figure 1). Ces derniers se forment sur les sarments et parfois sur les baies momifiées, voire les rafles à l'automne, ce qui permet à ce champignon de se maintenir sur la vigne durant l'hiver. Son mycélium présent dans les écorces et les bourgeons dormants assure aussi cette fonction. Ajoutons que les sclérotes sont aussi capables de persister dans le sol plusieurs années. De plus, les potentialités saprophytiques de Botrytis cinerea lui permettent de se conserver sans peine sur la matière organique. Ce champignon polyphage est aussi susceptible d'attaquer et de coloniser plusieurs centaines de plantes cultivées ou adventices qui contribuent à sa conservation et constituent des sources potentielles d'inoculum.

Les contaminations primaires sont souvent aériennes ; elles font intervenir des conidies (figure 2) formées en fin d'hiver et au printemps notamment à partir des sclérotes et du mycélium et facilement transportées par le vent. Ces spores germent en quelques heures à des températures comprises entre 1 et 30°C (l'optimum se situant à 18-20°C) sur les organes mouillés et/ou en présence d'une humidité ambiante d'au moins 90%. La germination des conidies est fortement affectée à des températures supérieures à 30°C.

  • Pénétration et invasion

Une fois le tube germinatif initié, celui-ci pénètre dans les tissus et donne lieu à du mycélium détruisant les parois des cellules et leur contenu. La pénétration s'effectue soit directement à travers la cuticule et l'épiderme, soit à partir de diverses blessures. Ajoutons qu'il peut pénétrer les baies par l'intermédiaire de microfissures se formant autour de stomates non fonctionnels. Il serait capable d'initier des contaminations latentes à la suite de contaminations ovariennes via les stigmates et les styles à la fin de la floraison. Les infections ont lieu approximativement après une quinzaine d'heures en présence d'humidité et des températures optimales comprises entre 15 et 20°C. Botrytis cinerea , une fois en place, envahit les tissus sains (figure 3) ou plus particulièrement tous les tissus sénescents, nécrosés et/ou morts comme les pétales, les sépales nécrosés, les vieilles folioles, les baies avortées… Il lui arrive de coloniser des tissus déjà altérés par d'autres agents pathogènes, par des ravageurs (Eudemis, cochylis…) ou par la grêle. Il se généralise rapidement aux tissus qu'il fait pourrir en quelques jours, grâce à l'hydrolyse des substances peptiques.

  • Sporulation et dissémination

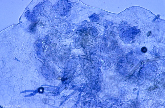
Sur tous ses hôtes et les organes colonisés, comme sur les débris végétaux, il produit du mycélium et de nombreux conidiophores longs et ramifiés (figure 4) à l'origine de la moisissure grise (figure 5). A leurs extrémités naissent des conidies ovoïdes à sphériques qui assurent la dissémination de Botrytis cinerea (figure 6). La sporulation peut débuter 3 jours après les premières contaminations. La dissémination s'effectue surtout par l'intermédiaire du vent et des courants d'air, à un moindre degré de la pluie et des éclaboussures d'eau. Le mycélium est à l'origine de contaminations par contact, de tissus malades à tissus sains. Botrytis cinerea peut finir par produire sur les tissus altérés des petits sclérotes plats qui permettent aussi sa conservation. En conditions favorables, la durée d'un cycle est assez courte, de l'ordre de 4 jours.

  • Conditions favorables à son développement
    • Le climat : comme de nombreux champignons aériens, Botrytis cinerea affectionne particulièrement les ambiances humides. Une humidité relative avoisinant 90 à 95 % et des températures comprises entre 17 et 23°C sont des conditions très propices à ses attaques. A une température de 15-20°C, on considère que 15 à 20h d'humidité forte sont nécessaires pour que l'infection se déroule dans des conditions idéales. Si en revanche la température est plus basse, par exemple 5°C, la durée de la période d'humidité nécessaire s'allonge : 50 h. Ceci explique pourquoi les dégâts les plus importants sont observés au printemps car le climat est doux et humide.
    • La densité foliaire et la production en raisins  (charge, compacité des baies, etc.) ;
    • Des interactions avec d'autres problématiques de la vigne : dégâts et blessures liés au développement d'autres maladies (oïdium, dégâts de grêle,blessures mécaniques, etc.) et  de ravageurs (tordeuses, etc.) ;
    • Le matériel végétal (cépage, porte-greffe, clone) : certaines variétés sont plus sensibles que d'autres à la moisissure grise. En effet, les cépages tels que Chardonnay, Chenin Blanc, Riesling ou Pinot noir sont très sensibles à Botrytis cinerea car ils présentent des baies à peau fine et/ou des grappes très compactes, ce qui favorise la pénétration et la propagation du champignon. D'autres variétés, telles que le Pinot gris ou le Caladoc, sont peu sensibles à ce dernier. Vous pouvez consulter la fiche Sensibilité des cépages de vigne à la pourriture grise.

 

  • Synoptique du développement de B. cinerea (figure 7)
 
Dernière modification : 28/01/2021
  • Auteurs :
  • D Blancard (INRA)
  • M Sorel
  • M Fermaud (INRA)
botrytis16
Figure 1
Botrytis_germination
Figure 2
botrytis17
Figure 3
botrytis18
Figure 4
Botrytis7
Figure 5
botrytis15
Figure 6
Synoptique_du_Botrytis
Figure 7