Pythium spp., Phytophthora spp.
Pourritures à Oomycètes
Généralités
- Microorganismes reclassés récemment dans les Straménopila* parmi lesquels sont retrouvés plusieurs agents de mildiou Pseudoperonospora cubensis, Phytophthora infestans, etc.
- Largement répandus dans le monde, signalés sur de nombreux légumes dans de nombreux pays sur tous les continents.
- Microorganismes plutôt polyphages ; plusieurs espèces de Pythium et de Phytophthora sont répertoriées chez les espèces légumières. Méfiance, certains peuvent venir coloniser secondairement des tissus lésés par un envahisseur primaire.
- Responsables de dégâts tout au long du cycle de production des plantes, aussi bien en pépinières sur plantules que dans les cultures sur plantes adultes, en particulier en zones tropicales à équatoriales : fontes de semis, pourritures sur tous les organes telluriques mais aussi aériens. ils peuvent aussi agir en complexe avec d'autres bioagresseurs telluriques, associés à des dépérissements racinaires.
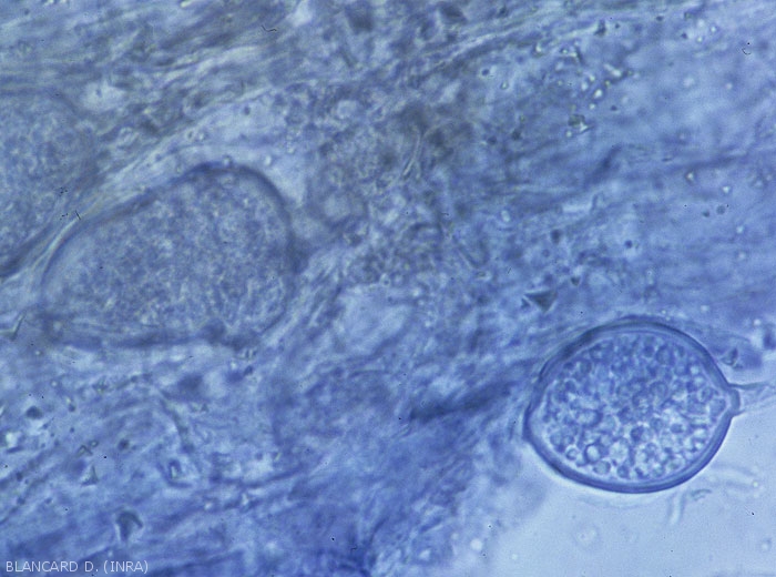
- Leur parasitisme est matérialisé par la présence de mycelium non cloisonné (figures 1 et 2), d'oospores (figures 3 à 5) et de sporanges (figure 6) dans les tissus altérés.
- Plutôt observés en plein champ.
* Il existe environ 800 espèces saprophytes ou parasites d'Oomycètes qui ont longtemps été classés dans les Phycomycètes ou « champignons inférieurs » (Eumycètes). Cette classification a été révisée il y a quelques années car l'ultrastructure de ces microorganismes, leur biochimie et leurs séquences moléculaires indiquaient qu'ils appartenaient aux Chromistes, incluant surtout des algues (vertes et brunes), des diatomées. Actuellement, en fonction des sources bibliographiques, ils peuvent être associés soit au règne des Chromista (Index fungorum), soit au règne des Stramenopila (Tree of life).
- Principales espèces signalées : Pythium myriotylum, P. ultimum, P. acanthicum, P. aphanidermatum, Phytophthora nicotianae, P. capsici, P. drechsleri
, P. mexicana, P. melonis, P. citrophthora, etc.
- Solanacées : plusieurs espèces de Pythium (P. aphanidermatum, ), Phytophthora nicotianae,
- Cucurbitacées : plusieurs espèces de Pythium (P. aphanidermatum, ), Phytophthora capsici,
- Famille(s) botanique(s) sensible(s)
| Solanacées | Cucurbitacées |
Biologie
- Conservation : capables de vivre à l'état saprophyte aux dépens de la matière organique présente dans le sol ou les substrats. Les oospores (figures 3 à 5) et les chlamydospores assurent parfaitement leur conservation dans le sol, que cela soit en conditions humides ou sèches. De nombreux hôtes, cultivés ou non, assurent aussi leur multiplication et leur conservation.
- Sources d'inoculum : substrat, plants, l'eau d'irrigation, débris végétaux, boues, poussières de sol, etc.
- Infection : pénètrent directement les tissus épidermiques des jeunes racines et des fruits, mais aussi par l'intermédiaire de blessures. Ils envahissent rapidement les tissus grâce à leur mycélium non cloisonné (figures 1 et 2) progressant entre et dans les cellules.
- Sporulation : plus ou moins abondamment dans et sur les tissus qu'ils ont envahis (racines, collet, fruits... ), formant notamment des sporanges (figure 6) qui peuvent germer directement ou produire des zoospores flagellées et mobiles. Ces dernières sont aisément disséminées dans la phase aqueuse des sol et dans la solution nutritive des cultures hors sol, et sont attirées par les exsudats racinaires. Des disséminations aériennes sont possibles à la suite d'éclaboussures survenant au cours d'irrigations par aspersion ou de fortes pluies. Certains insectes, notamment des mouches, pourraient être à l'origine de contaminations, via le transport d'oospores.
- Conditions favorables :
- une forte densité des plantules en pépinières et de racines dans les pains des cultures hors sol ;
- l'excès d'azote, des concentrations salines élevées, etc. ;
- la présence d'eau, l'humidité excessive du sol et des échanges gazeux réduits, les sols lourds et/ou compactés ;
- la température influence différemment leur comportement, avec des espèces plutôt thermophiles comme Pythium aphanidermatum, Phytophthora capsici ;
- la réceptivité des hôtes qui n'est pas constante tout au long de leur vie ;
- l'intervention d'autres bioagresseurs conduisant à des interactions beaucoup plus destructives pour les légumes.
Protection
- Réaliser des rotations culturales assez longues en terrain vierge, elles ne sont plus très efficaces en sol contaminé.
- Assurer un bon drainage au sol, et apporter de la matière organique dans les sols lourds.
- Bien aérer les pépinières, éviter les trop fortes densités et les apports d'eau excessifs, surveiller la qualité des plants à la plantation.
- Eviter de planter trop profondément, d'enterrer le collet des plantes. Planter sur des buttes afin d'éviter la rétention d'eau au pied des plantes.
- Mettre en place un paillage plastique afin de créer une barrière mécanique entre le sol et les organes végétaux, en particulier les fruits.
- Soigner l’irrigation : quantité optimale, apport localisé, etc. Eviter l'irrigation par aspersion et surveiller la qualité sanitaire de l'eau.
- Maintenir une fertilisation équilibrée et éviter de stresser les plantes.
- Eliminer les débris végétaux sains ou malades en cours et en fin de culture, ainsi que les mauvaises herbes hôtes potentiels susceptibles d’héberger ou de favoriser le développement et la conservation de ces organismes dans le sol.
Consultez aussi cette fiche



