Descripción de levaduras

 

 

  • Kloeckera apiculata : células aisladas, ya sea en parejas u ocasionalmente en grupos de 3 a 4 células (Figura 1). Su forma elipsoidal y puntiaguda en los extremos les da el aspecto de un limón cuyas dimensiones son del orden de 1,4-5,3 x 2,6-12,2 µm. Los polos realizan la formación de una nueva célula. Las células ovaladas de Hanseniaspora uvarum tienen un extremo puntiagudo. Aislados o en parejas, se multiplican por gemación bipolar (Figura 2).
    Aspecto de las colonias en medio malta-agar : gris, incluso amarillento a cremoso, con vetas finas.
  • Candida stellata : células ovoides que brotan multilateralmente, las células hijas no se desprenden bien de la célula madre. Además, están ensamblados en forma de estrella.
    Aspecto de las colonias en medio malta-agar: blanco grisáceo y de aspecto brillante y superficie lisa.
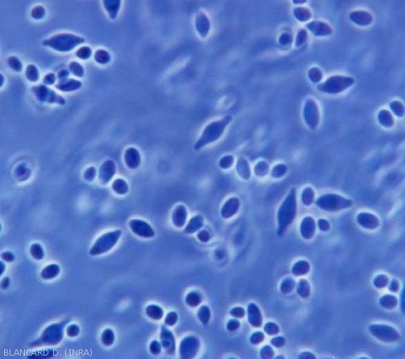
  • Pichia membranifaciens  :  células ovaladas a cilíndricas, con dimensiones del orden de 2-5,5 x 4,5-20 µm. Se observan individualmente, en parejas o en cadenas, y se multiplican por brotes multilaterales. La conjugación entre dos células de tipo opuesto da lugar a la formación de ascos, cada uno de los cuales contiene de 1 a 4 ascosporas esféricas.
    Aspecto de las colonias en medio malta-agar : blanco-amarillo, mate y liso.
  • Metschnikowia pulcherrima  : células elipsoidales (2,5-6 x 4-10 µm) que también se multiplican por gemación multilateral. A medida que envejecen, se vuelven bastante globulares y desarrollan uno o más glóbulos de lípidos. La reproducción sexual de esta levadura da como resultado la formación de ascos que contienen de 1 a 2 ascosporas alargadas.
    Aspecto de las colonias en medio malta-agar : color crema, algunas incluso con tintes marrón rojizo. Su superficie es lisa y brillante.
  • Rhodotorula spp . : células esféricas a alargadas, que se reproducen por brotación multilateral. Los blastoconidios así formados son unicelulares y de forma globular a alargada. A veces se pueden encapsular.
    Aparición de colonias en medio malta-agar : producción de pigmentos rojos y / o amarillos. La apariencia de las colonias es lisa, brillante o mate, de color crema a rosa, coral o amarillo.
  • Candida krusei columnares  : células ovaladas o . La frecuencia de cada forma varía según la cepa, pero normalmente encontramos una mayoría de células columnares. Su reproducción está asegurada por brotes multilaterales. El pseudomicelio puede formarse y diferenciarse de pseudohifas y blastoconidios.
    Aspecto de las colonias en medio malta-agar : color amarillo verdoso bastante apagado, su superficie suele ser lisa.
  • Zygosaccharomyces rouxii : células aisladas o en pares, generalmente en cadenas o grupos. Se han identificado dos grupos de células, de tamaño variable, de forma esférica a cilíndrica. Las celdas más grandes tienen dimensiones del orden de 3-7 x 4-14 µm, las más pequeñas miden 2,5-6 x 3,5-9-15 µm.
    Aspecto de las colonias en medio malta-agar : color crema a marrón y superficie lisa bastante brillante.
Última modificación:06/10/21
Acide_apiculata1
Figura 1
Acide_apiculata2
Figura 2
Acide_stellata
Figura 3
Acide_membranefa1
Figura 4
Acide_membranefa2
Figura 5