Description of yeasts

  

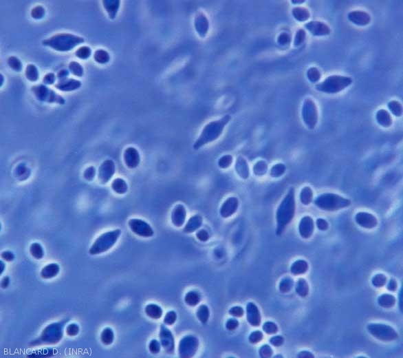
  • Kloeckera apiculata : isolated cells, either in pairs or occasionally in groups of 3 to 4 cells (Figure 1). Their ellipsoidal and pointed shape at the ends gives them the appearance of a lemon whose dimensions are of the order of 1.4-5.3 x 2.6-12.2 µm. The formation of a new cell is carried out by the poles. The oval cells of Hanseniaspora uvarum have a pointed end. Isolated or in pairs, they multiply by bipolar budding (Figure 2).
    Appearance of colonies on malt-agar medium : gray, even yellowish to creamy, with fine streaks.
  • Candida stellata : ovoid cells budding multilaterally, the daughter cells do not detach themselves well from the mother cell. Also, they are assembled in the shape of a star.
    Appearance of colonies on malt-agar medium: gray-white and have a shiny appearance and a smooth surface.
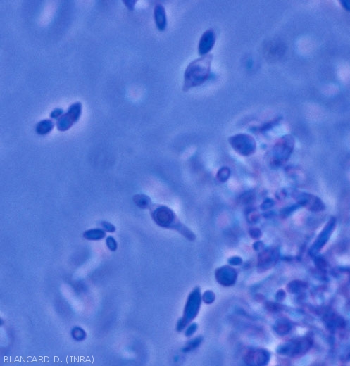
  • Pichia membranifaciens  :  oval to cylindrical cells, with dimensions of the order of 2-5.5 x 4.5-20 µm. They are observed singly, in pairs or in chains, and multiply by multilateral budding. The conjugation between two cells of opposite type gives rise to the formation of asci each containing 1 to 4 spherical ascospores.
    Appearance of colonies on malt-agar medium : white-yellow, matt and smooth.
  • Metschnikowia pulcherrima  : ellipsoidal cells (2.5-6 x 4-10 µm) also multiplying by multilateral budding. As they age, they become rather globular and develop one or more lipid globules. The sexual reproduction of this yeast results in the formation of asci containing 1 to 2 elongated ascospores.
    Appearance of colonies on malt-agar medium : cream color, some even taking on red-brown tints. Their surface is smooth and shiny.
  • Rhodotorula spp . : spherical to elongated cells, reproducing by multilateral budding. The blastoconidia thus formed are unicellular and globular to elongated in shape. Sometimes they can be encapsulated.
    Appearance of colonies on malt-agar medium : production of red and / or yellow pigments. The appearance of the colonies is smooth, shiny or mat, cream to pink, coral or yellow in color.
  • Candida krusei columnar  : oval or cells. The frequency of each form varies depending on the strain, but we usually find a majority of columnar cells. Their reproduction is ensured by multilateral budding. Pseudomycelium can form and differentiate from pseudohyphae and blastoconidia.
    Appearance of colonies on malt-agar medium : rather dull yellow-green color, their surface is usually smooth.
  • Zygosaccharomyces rouxii : cells isolated or in pairs, usually in chains or clumps. Two groups of cells have been identified, varying in size, spherical to cylindrical shape. The largest cells have dimensions of the order of 3-7 x 4-14 µm, the smallest measure 2.5-6 x 3.5-9-15 µm.
    Appearance of colonies on malt-agar medium : cream to brown color and a rather shiny smooth surface.

 

Last change : 04/19/21
Acide_apiculata1
Figure 1
Acide_apiculata2
Figure 2
Acide_stellata
Figure 3
Acide_membranefa1
Figure 4
Acide_membranefa2
Figure 5