Logo Ephytia
Identify/Knowing/Controlling
 Registration  Log in
Logo Inra
  • CropsCrops
  • Grapevine

Final diagnosis


Botrytis cinerea (Gray mold)

Botrytis22
Botrytis22
Botrytis23
Botrytis23
Botrytis24
Botrytis24
Botrytis25
Botrytis25
Large beigeish necrotic spot, darker on the periphery, progressively necrotizing  <b><i>Botrytis cinerea</i> </b>(Gray mold)
Large beigeish necrotic spot, darker on the periphery, progressively necrotizing  <b><i>Botrytis cinerea</i> </b>(Gray mold)
Beige necrotic spot characteristic of <b> <i> Botrytis cinerea </i> </b> on leaf.
Beige necrotic spot characteristic of <b> <i> Botrytis cinerea </i> </b> on leaf.
On this more advanced and extensive spot, the necrotic tissue took on a brownish tint.
 <i> <b> Botrytis cinerea </b> </i>
On this more advanced and extensive spot, the necrotic tissue took on a brownish tint.
 <i> <b> Botrytis cinerea </b> </i>
The distal part of this inflorescence colonized by <i> <b> Botrytis cinerea </b> </i> has rotted and dried out.  Some necrotic flowers have fallen.
The distal part of this inflorescence colonized by <i> <b> Botrytis cinerea </b> </i> has rotted and dried out.  Some necrotic flowers have fallen.
The peduncle of this cluster is completely surrounded by rot caused by <b> <i> Botrytis cinerea </i> </b>
The peduncle of this cluster is completely surrounded by rot caused by <b> <i> Botrytis cinerea </i> </b>
Several berries of this green cluster are more or less rotten and shriveled following an attack by <b> <i> Botrytis cinerea </i> </b>.
Several berries of this green cluster are more or less rotten and shriveled following an attack by <b> <i> Botrytis cinerea </i> </b>.
Several berries located in the central part of this grape show moist, radial rot starting from a tiny lesion.  The latter, which gave rise to the name "bite" in the region of Moissac (France), is caused by <b> <i> Botrytis cinerea </i> </b>.
Several berries located in the central part of this grape show moist, radial rot starting from a tiny lesion.  The latter, which gave rise to the name "bite" in the region of Moissac (France), is caused by <b> <i> Botrytis cinerea </i> </b>.
On black grape variety, <b> <i> Botrytis cinerea </i> </b> causes rotting of the reddish-brown to dark purplish-colored berries.  Added to this is the presence of a characteristic gray mold on the surface of these.  <b> <i> Botrytis cinerea </i> </b>
On black grape variety, <b> <i> Botrytis cinerea </i> </b> causes rotting of the reddish-brown to dark purplish-colored berries.  Added to this is the presence of a characteristic gray mold on the surface of these.  <b> <i> Botrytis cinerea </i> </b>
Detail of gray rot on hard black grape berries.  <i> <b> Botrytis cinerea </b> </i>
Detail of gray rot on hard black grape berries.  <i> <b> Botrytis cinerea </b> </i>
On white grape varieties, the berries affected by <i> <b> Botrytis cinerea </b> </i> turn brown and take on a more or less beige to purplish color;  a gray mold spreads on their surface.
On white grape varieties, the berries affected by <i> <b> Botrytis cinerea </b> </i> turn brown and take on a more or less beige to purplish color;  a gray mold spreads on their surface.
Detail of gray rot on hard white grape berries.  <i> <b> Botrytis cinerea </b> </i>
Detail of gray rot on hard white grape berries.  <i> <b> Botrytis cinerea </b> </i>
Note the strong sporulation of <i> <b> Botrytis cinerea </b> </i> on colonized white grape berries.
Note the strong sporulation of <i> <b> Botrytis cinerea </b> </i> on colonized white grape berries.
The gray mold observed on this red grape  consists of conidiophores in tussocks and conidia of <i> <b> Botrytis cinerea </b> </i>.
The gray mold observed on this red grape  consists of conidiophores in tussocks and conidia of <i> <b> Botrytis cinerea </b> </i>.
On black grape variety, <b> <i> Botrytis cinerea </i> </b> causes rotting of the reddish-brown berries.  Added to this is the presence of a characteristic gray mold on the surface of these.  <b> <i> Botrytis cinerea </i> </b> (gray mold)
On black grape variety, <b> <i> Botrytis cinerea </i> </b> causes rotting of the reddish-brown berries.  Added to this is the presence of a characteristic gray mold on the surface of these.  <b> <i> Botrytis cinerea </i> </b> (gray mold)
On black grape varieties, the <b> <i> Botrytis cinerea </i> </b> attack on grape berries gives them a reddish-brown color.  Added to this is the presence of a characteristic gray mold on the surface of these.
On black grape varieties, the <b> <i> Botrytis cinerea </i> </b> attack on grape berries gives them a reddish-brown color.  Added to this is the presence of a characteristic gray mold on the surface of these.
On white grape varieties, the berries affected by <i> <b> Botrytis cinerea </b> </i> turn brown and a gray mold spreads on their surface.
On white grape varieties, the berries affected by <i> <b> Botrytis cinerea </b> </i> turn brown and a gray mold spreads on their surface.
Outbreak of gray mold with <b> <i> Botrytis cinerea </i> </b> on bunch of grapes.
Outbreak of gray mold with <b> <i> Botrytis cinerea </i> </b> on bunch of grapes.
The gray mold caused by <b> <i> Botrytis cinerea </i> </b> on the surface of infected tissues consists of branched conidiophores bearing hyaline conidia.
The gray mold caused by <b> <i> Botrytis cinerea </i> </b> on the surface of infected tissues consists of branched conidiophores bearing hyaline conidia.
Several grape berries are more or less covered by the gray mold produced by <b> <i> Botrytis cinerea </i> </b>.
Several grape berries are more or less covered by the gray mold produced by <b> <i> Botrytis cinerea </i> </b>.
<b> <i> Botrytis cinerea </i> </b>: advanced stage of attack on white grape variety.
<b> <i> Botrytis cinerea </i> </b>: advanced stage of attack on white grape variety.
At the end of the season, the development of <b> <i> Botrytis cinerea </i> </b> on grape berries can be impressive!  All the berries eventually being covered by gray mold.
At the end of the season, the development of <b> <i> Botrytis cinerea </i> </b> on grape berries can be impressive!  All the berries eventually being covered by gray mold.
Many berries are now covered by the gray mold produced by <b> <i> Botrytis cinerea </i> </b>.
Many berries are now covered by the gray mold produced by <b> <i> Botrytis cinerea </i> </b>.
Grape berries more or less colonized by <i> <b> Botrytis cinerea </b> </i> and covered by its sporulation.  (gray mold)
Grape berries more or less colonized by <i> <b> Botrytis cinerea </b> </i> and covered by its sporulation.  (gray mold)
In the bay on the right, <i> <b> Botrytis cinerea </b> </i> sporulates profusely on exposed tissue at a crack in the skin.
In the bay on the right, <i> <b> Botrytis cinerea </b> </i> sporulates profusely on exposed tissue at a crack in the skin.
<i> <b> Botrytis cinerea </b> </i> is easily transmitted by contact from diseased berry to healthy berry as can be seen on these grape berries.
<i> <b> Botrytis cinerea </b> </i> is easily transmitted by contact from diseased berry to healthy berry as can be seen on these grape berries.
Several conidiophores bearing conidia are visible on this botrytis berry isolated within mummified berries affected by black rot.  <i> <b> Botrytis cinerea </b> </i>.
Several conidiophores bearing conidia are visible on this botrytis berry isolated within mummified berries affected by black rot.  <i> <b> Botrytis cinerea </b> </i>.
Tussocks of conidiophores of <b> <i> Botrytis cinerea </i> </b> are visible on the surface of this grape berry.
Tussocks of conidiophores of <b> <i> Botrytis cinerea </i> </b> are visible on the surface of this grape berry.
Several tree conidiophores of <b> <i> Botrytis cinerea </i> </b> carry numerous hyaline conidia easily dispersed by the wind.
Several tree conidiophores of <b> <i> Botrytis cinerea </i> </b> carry numerous hyaline conidia easily dispersed by the wind.
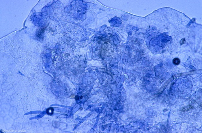
Young branched conidiophore of <i> <b> Botrytis cinerea </b> </i> observed under a light microscope.  (gray mold).
Young branched conidiophore of <i> <b> Botrytis cinerea </b> </i> observed under a light microscope.  (gray mold).
Appearance of conidial clusters at the tip of a <i> <b> Botrytis cinerea </b> </i> conidiophore (gray mold)
Appearance of conidial clusters at the tip of a <i> <b> Botrytis cinerea </b> </i> conidiophore (gray mold)
Appearance under a light microscope of the conidial clusters present at the end of a conidiophore of <i> <b> Botrytis cinerea </b> </i> (gray mold)
Appearance under a light microscope of the conidial clusters present at the end of a conidiophore of <i> <b> Botrytis cinerea </b> </i> (gray mold)
Conidia of <i> <b> Botrytis cinerea </b> </i> are formed at the end of sterigmas.  (gray mold)
Conidia of <i> <b> Botrytis cinerea </b> </i> are formed at the end of sterigmas.  (gray mold)
Ovoid, hyaline to slightly brownish conidia of <i> <b> Botrytis cinerea </b> </i>.  Mycelium is also visible.  (gray mold)
Ovoid, hyaline to slightly brownish conidia of <i> <b> Botrytis cinerea </b> </i>.  Mycelium is also visible.  (gray mold)
When penetrated under the skin of the berry, <b> <i> Botrytis cinerea </i> </b> forms aggregates of mycelium.
When penetrated under the skin of the berry, <b> <i> Botrytis cinerea </i> </b> forms aggregates of mycelium.
<b> <i> Botrytis cinerea </i> </b> is preserved mainly as sclerotia several millimeters long.  First white, they turn brown over time.
<b> <i> Botrytis cinerea </i> </b> is preserved mainly as sclerotia several millimeters long.  First white, they turn brown over time.
On this cluster affected by <b> <i> Botrytis cinerea </i> </b>, several berries reveal bluish spore pads of a <i> <b> Penicillium </i> sp </b>.
On this cluster affected by <b> <i> Botrytis cinerea </i> </b>, several berries reveal bluish spore pads of a <i> <b> Penicillium </i> sp </b>.
On this grape affected by <b> <i> Botrytis cinerea </i> </b>, one of the berries also bears bluish spore pads of a <i> <b> Penicillium </i> sp </b> .
On this grape affected by <b> <i> Botrytis cinerea </i> </b>, one of the berries also bears bluish spore pads of a <i> <b> Penicillium </i> sp </b> .
Berries parasitized by <b><i>Cladosporium</i> </b> sp.  on the left (green pads) or by <i> Botrytis cinerea </i> on the right (gray mold)
Berries parasitized by <b><i>Cladosporium</i> </b> sp.  on the left (green pads) or by <i> Botrytis cinerea </i> on the right (gray mold)
Detail of berries colonized either by <i> Botrytis cinerea </i> (right)) or by <i> <b> Penicillium expansum </b> </i> (left).
Detail of berries colonized either by <i> Botrytis cinerea </i> (right)) or by <i> <b> Penicillium expansum </b> </i> (left).

Ephytia - All Rights Reserved - 2026

  • Legal notices
  • Contact

Chargement...

Chargement...

 

 

...